VII Congreso Dental Aragonés

Conoce a los Ponentes

Itziar Giménez Atrián

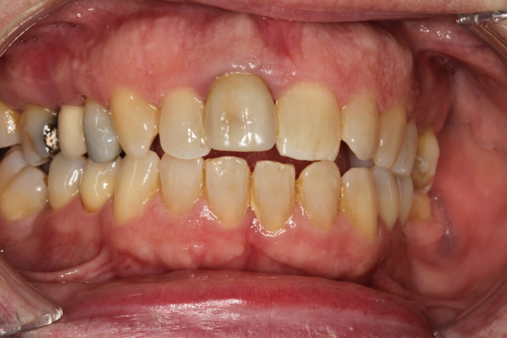
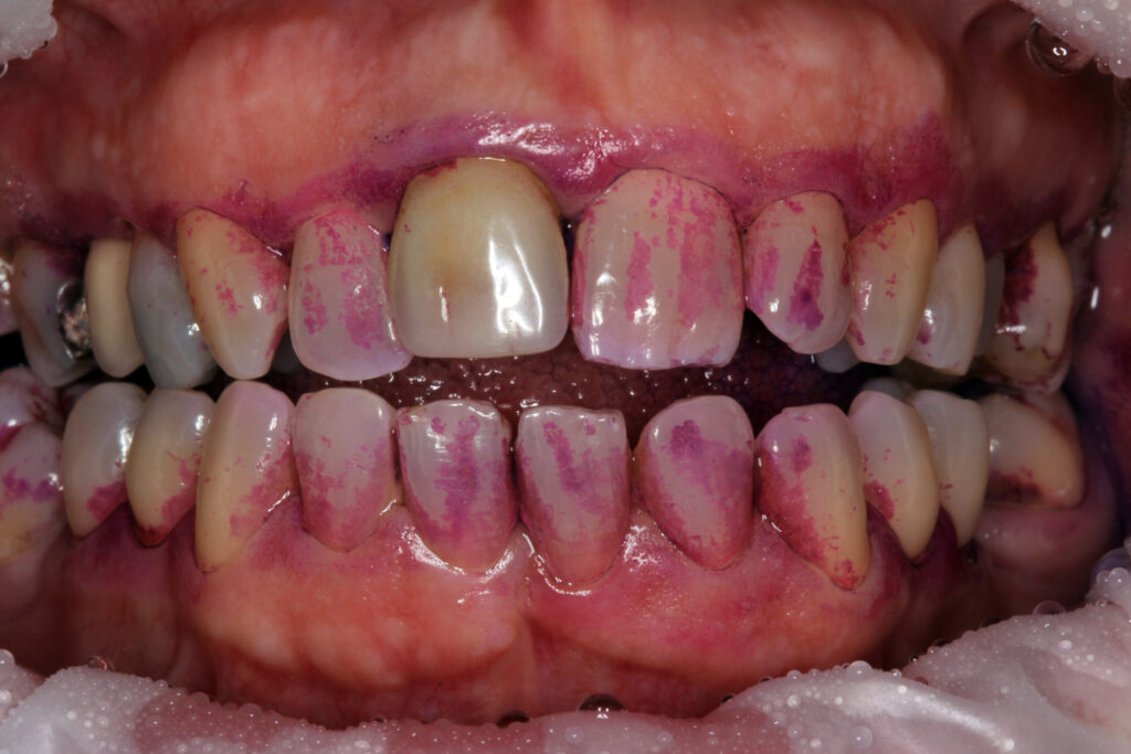
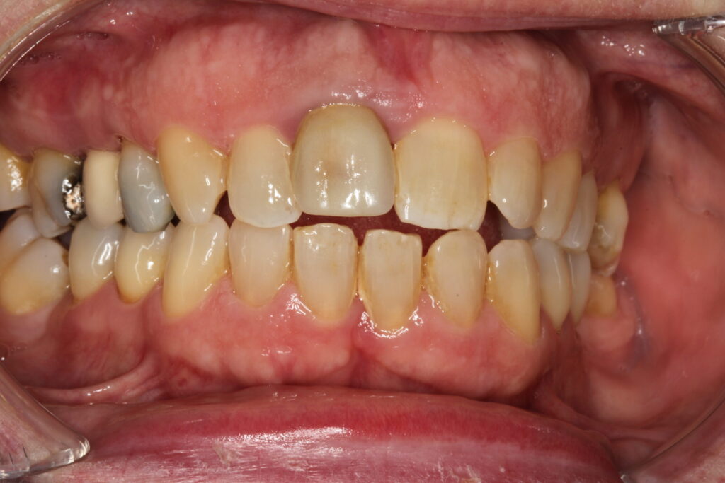
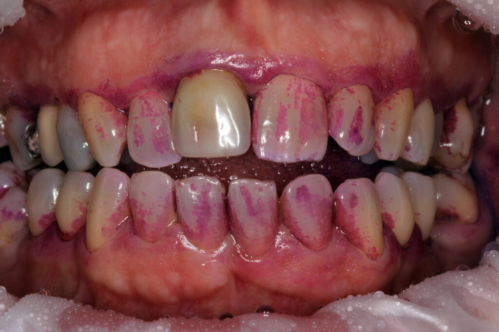
Aeropulidores en el tratamiento periodontal. Secuencia GBT.

Personal Auxiliar
Sábado 5 abril 2025 a las 11:30

Curriculum Itziar Giménez Atrián

Higienista Dental

Especializada en Periodoncia Avanzada

GBT Trainer para EMS en Aragón

Desarrollo profesional durante 10 años

Itziar Giménez Atrián
Itziar Giménez Atrián
Itziar Giménez Atrián